Nuevo resonador magnético, el más potente del mundo
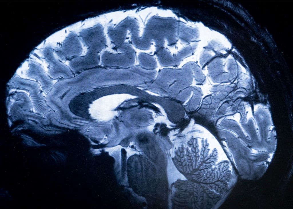
Este resonador puede obtener imágenes con una potencia de 11,7 Teslas, logrando mucha mayor nitidez en comparación con los RM habituales que logran una potencia de hasta tres teslas.
El equipo de investigación del Comisariado de Energía Atómica (CEA) en Francia ha alcanzado un hito significativo con el resonador magnético (RM) más potente del mundo. Este avance promete revolucionar la detección de enfermedades al permitir un escaneo del cerebro humano con un nivel de precisión sin precedentes.
Tras utilizar inicialmente el dispositivo para escanear una calabaza en 2021, los investigadores recibieron recientemente la aprobación de las autoridades sanitarias para realizar escaneos en seres humanos.
En Saclay, un suburbio al sur de París, aproximadamente 20 voluntarios sanos se sometieron a la experiencia de ver escaneados sus cerebros en los últimos meses.
Según Alexandre Vignaud, físico del proyecto, este escáner, llamado Iseult, ha alcanzado un nivel de precisión nunca antes visto en el CEA. Con un campo magnético de 11,7 teslas, diez veces más potente que los RM convencionales, la máquina puede capturar detalles sorprendentes que anteriormente eran casi invisibles. Esto incluye la visualización de pequeños vasos sanguíneos que alimentan la corteza cerebral y detalles del cerebelo.El avance de esta tecnología promete mejorar significativamente la capacidad de diagnóstico y comprensión del cerebro humano, lo que podría tener importantes implicaciones en el campo de la medicina y la neurociencia.








